Dental Implants in Columbus & Starkville MS
Dental Implants
Dental implants represent a significant advancement in the field of modern dentistry, providing a highly durable and reliable solution for tooth loss. Our doctors’ extensive expertise and proficiency ensure an elevated level of care and success in the dental implant process.
What are Dental Implants?
A dental implant is essentially a sophisticated, three-part artificial tooth. It consists of a root, which is a titanium screw embedded into the jawbone, an abutment that acts as a connector placed on top of the implant, and a crown, the visible part that mirrors the appearance of a natural tooth. The materials utilized in the construction of dental implants, including titanium and ceramic, are biocompatible and carefully chosen to mimic the function and aesthetic of natural teeth, thus ensuring a seamless blend with the patient’s existing dental structure.
Dental implants serve as an effective solution for various conditions such as tooth decay, gum disease, or injuries that result in tooth loss. Unlike bridges or dentures, dental implants offer a more natural feel and function, addressing not only the aesthetic drawbacks but also potential health implications of missing teeth.
Dental implants confer a myriad of benefits to the patient. They are known for their durability and, with proper care, can last a lifetime. Moreover, implants contribute positively to oral health by preventing bone loss that often occurs with tooth loss. They help maintain the integrity of the jawbone and prevent shifting of the remaining teeth. Furthermore, dental implants can dramatically improve an individual’s aesthetics and self-confidence. With the look and feel of natural teeth, implants allow patients to smile, talk, and eat with renewed confidence and ease.
The Dental Implant Process
The dental implant process is meticulously planned and executed to ensure optimal results. It starts with a comprehensive evaluation where the patient’s oral health is thoroughly assessed, followed by the creation of a detailed treatment plan. The surgical phase involves the doctor placing the implant into the jawbone. After this, the patient enters a healing phase during which osseointegration, the process of the implant bonding with the bone, occurs. This integration is critical to providing a solid foundation for the artificial tooth. Lastly, the abutment and crown are fitted, completing the restoration and giving the patient a fully functional and aesthetically pleasing dental solution.
Our doctors are adept at managing the complexities of oral health, enabling them to effectively navigate patients through the entire dental implant journey. From initial consultation to post-surgery follow-up, their involvement is integral to ensuring successful implant placement and patient satisfaction.
All-On-4 Dental Implants
All-on-4® treatment concept is a contemporary restoration that has revolutionized the way surgeons and dentists think of replacing a full set of teeth. Standard dentures are unsecured prostheses with inherent limitations. Most often, dentures are painful, inconvenient and unstable. Such dentures can make chewing foods difficult, limiting the foods that you once enjoyed. Modern dentistry can help with the All-on-4® treatment concept. The All-on-4® treatment concept replaces your missing teeth with a full dental bridge supported by only four dental implants. With fewer implants needed, overall treatment time and cost is reduced. The unique All-on-4® treatment concept solution also ensures greater stability in the bone, reducing the need for bone graft surgery to increase bone volume. Typically, a temporary set of teeth can be placed on the same day of surgery. The temporary teeth allow you to lead a normal life immediately after surgery. After a short healing period, your dentist will place the final bridge. Your quality of life is improved, and you can start enjoying your favorite foods again with renewed confidence.
The All-on-4® treatment concept offers you many advantages.
- A cost effective solution. Your new replacement teeth require only 4 implants for each jaw. With fewer implants required, the cost is lowered.
- Reduced need for bone grafting. The special angled placement of two of the implants ensures a secure and stable anchorage for the replaced arch, often making bone grafting unnecessary.
- Faster treatment and healing time. Your replacement arch can be attached to your implants immediately after insertion.
Scientifically proven and documented. The All-on-4® treatment concept is supported by good clinical outcomes from studies over a decade with favorable results.
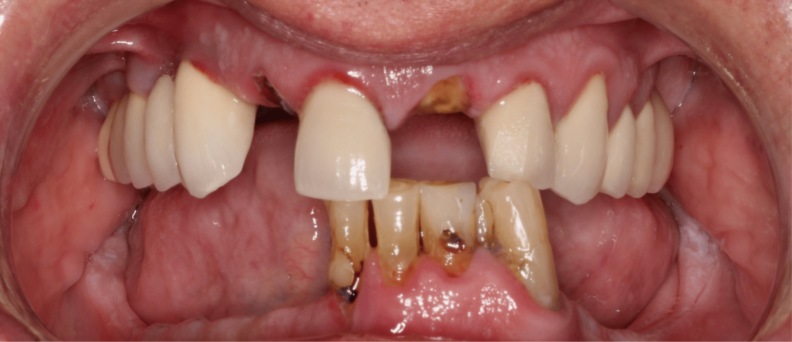
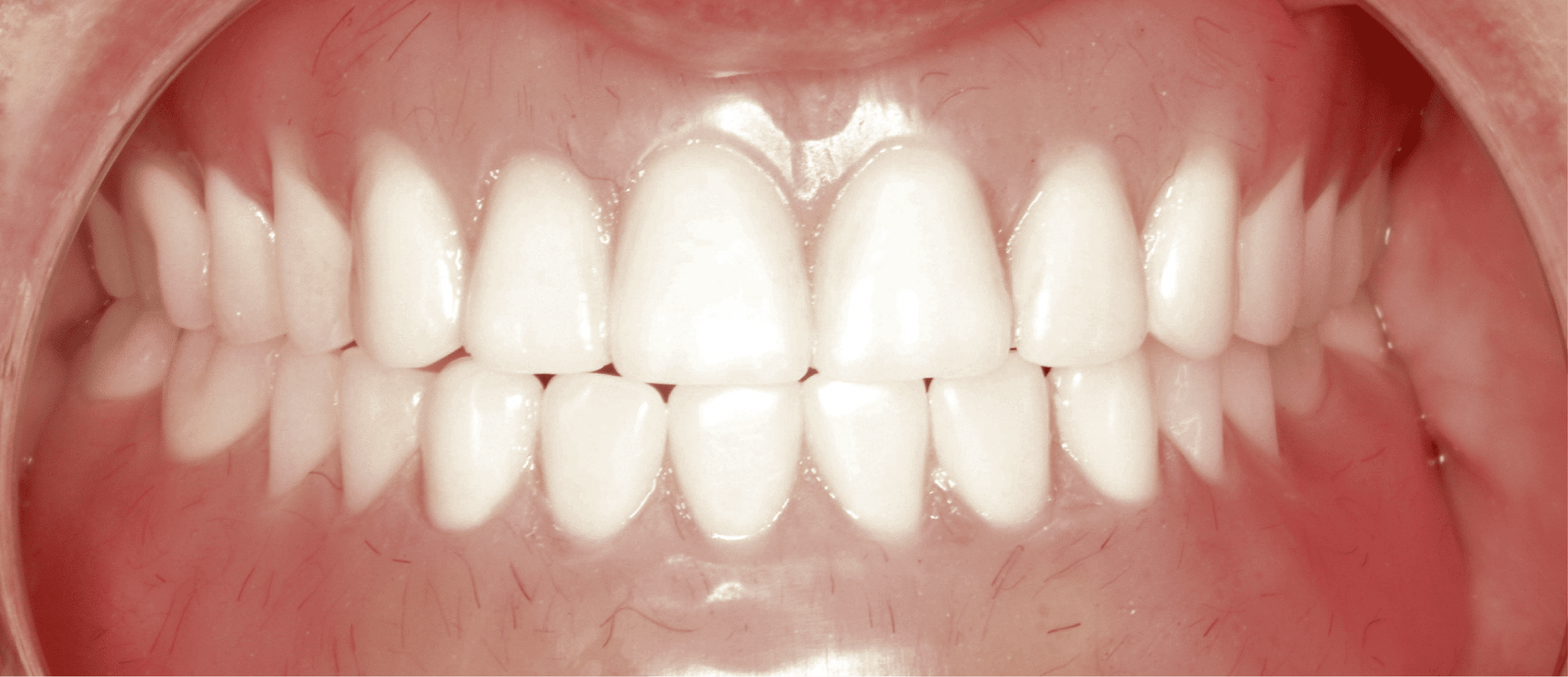
Patient Results


Dental Implants FAQ
How much do Dental Implants cost?
Many patients are often curious about the cost of this treatment option. Unfortunately, it’s difficult to give a specific price for dental implants as it depends on various factors. For instance, the cost may change depending on the material used or the number of hours it takes to fit the implant in place. If you need several implants this can also change the cost and it’s possible that you might need some form of restoration work before any dental implants can be added. Due to this, the cost of dental implants can not be compared in the same way to other treatments such as fillings, teeth whitening, or orthodontics.
How long is the process?
Installing dental implants is actually a two-part process. First the post is surgically attached to your jawbone. This part of the process takes between one and two hours. Then, you will wait a period of three months as the gums heal around the post. On your second visit, the cap can be installed on top of the post in as little as a few minutes.
Are Dental Implants worth it?
While they require some up-front cost, dental implants are a wise financial decision. The reason is because they are long-lasting, natural-feeling, and even help reduce bone loss, which can save money on expensive procedures down the line.
Is getting Dental Implants painful?
While some people may shy away from dental procedures because they are worried about the pain, the truth is that dental implants (and most dental procedures) come with only a small risk of pain. During the process, local anesthetic is used to numb the area around the implant.
Afterwards, the doctor can prescribe medications if they think you are at risk of suffering pain as your mouth heals. Often, over-the-counter medications are also effective.
How long do Dental Implants last?
One advantage of dental implants is that they are made to last for the rest of your life. Unlike regular teeth, they don’t decay over time, and are durable enough to stand up to a lifetime of use. Just be sure to keep your gums clean, as infected tissue surrounding the implant can lead to complications.
Can I get Dental Implants if I have Dentures?
Yes, dental implants can be installed on patients who have dentures. In fact, the implants can even serve as a benefit in this case, acting as a stable structure that allow the dentures to stay in place over the course of the day.
When combining dentures with dental implants, it will be necessary to have a new set of dentures made, which can be shaped to fill the gaps left by your implants.
Use of Innovative Technology
All procedures are furnished with state of the art equipment and maintained at the highest standards.
High Treatment Success Rates
Our treatments are performed by skilled dentists based on today’s standards of care, which promotes the best treatment outcomes.
Years of Dental Experience
With many years of dental experience, we are experts in all facets of dentistry. You will receive the best care available.